Comprehensive Medical Record Analysis

AI-assisted imaging review across all injury zones with board-certified physician oversight

For Legal Teams

  • Life care plan
  • Personal injury case review
  • TBI – neuro cognitive testing
  • TBI progression
  • AI case summary
  • Narrative reports
  • Trial & deposition documentation review

For Medical Teams

  • Catch missed diagnoses
  • Reduce liability
  • MD verification
  • Imaging review

For Patients

  • Get 2nd opinion
  • Understand your injury
  • Medical appeal support
  • Find right care

Advanced X-ray | MRI Reviews | TBI Cognitive Testing & Progression

Comprehensive Medical Record Analysis

AI-assisted imaging review across all injury zones with board-certified physician oversight

For Legal Teams

  • Life care plan
  • Personal injury case review
  • TBI – neuro cognitive testing
  • TBI progression
  • AI case summary
  • Narrative reports
  • Lifecare plan
  • Trial & deposition documentation review

For Medical Teams

  • Catch missed diagnoses
  • Reduce liability
  • MD verification
  • Imaging review

For Patients

  • Get 2nd opinion
  • Understand your injury
  • Medical appeal support
  • Find right care

Advanced X-ray | MRI Reviews | TBI Cognitive Testing & Progression

How We Serve

From Pain to Precision

Precision Reporting

Generating structured medical reports, injury progression insights, and life-care documentation trusted by clinicians and legal teams.

Physician Verification

Board-certified physicians review AI findings, confirm diagnoses, and ensure medical accuracy for care planning and legal use.

AI Injury Detection

AI analyzes imaging, neuro-cognitive data, and motion patterns to identify potential injuries with speed and consistency.

Pain Identification

Collecting detailed pain reports, accident narratives, and symptom timelines to establish the clinical baseline for evaluation.

How We Serve

From Pain to Precision

Pain Identification

Collecting detailed pain reports, accident narratives, and symptom timelines to establish the clinical baseline for evaluation.

AI Injury Detection

AI analyzes imaging, neuro-cognitive data, and motion patterns to identify potential injuries with speed and consistency.

Physician Verification

Board-certified physicians review AI findings, confirm diagnoses, and ensure medical accuracy for care planning and legal use.

Precision Reporting

Generating structured medical reports, injury progression insights, and life-care documentation trusted by clinicians and legal teams.

Case Insight

Spinal Instability & Symptomatic Disk, Joints and Ligaments

Platform identifies imaging findings related to spinal instability, symptomatic disc abnormalities, facet joint changes, and ligamentous injuries for physician review and clinical correlation.

AI-Driven Clinical Insight

Multi-Level Spine Analysis Example

Imaging shows findings consistent with instability at L4/5 and L5/S1 following prior percutaneous disc procedure. Board-certified physician review recommended for treatment planning.

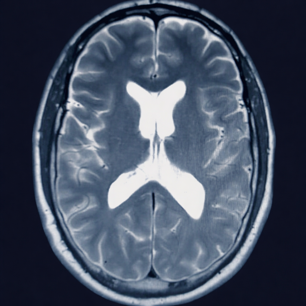
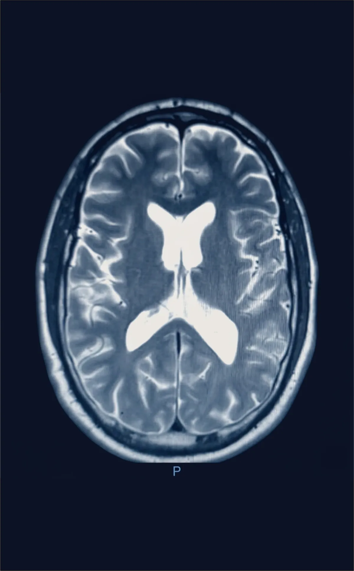
AI-Enhanced Cognitive Assessment

Brain Injury Analysis & Documentation

Platform analyzes brain imaging findings, correlates cognitive test results, and tracks symptom progression—all validated by board-certified physicians to support treatment planning and medical-legal documentation needs.

Trusted by Medical & Legal Professionals

Board-certified physicians and cutting-edge AI technology

Board-Certified Physicians

Every AI analysis validated by specialists in pain management, neurology, and spine surgery

HIPAA Compliant

Azure Security Center ensures complete protection of patient health information

LLM AI Ensemble

Advanced medical AI systems organizing clinical records for objective educational review

MONAI Framework

Microsoft Azure

Vision Models

Med-AI Models

Medical Framework

Learn More About Our Platform

Educational resources and information tailored to your role

Legal Teams

Comprehensive

Access detailed medical record analysis with physician documentation

Medical Teams

Thorough

Additional imaging review layer for clinical documentation

Patients

Educational

Learn about comprehensive imaging analysis options

Educational Information Only

This platform provides educational medical record analysis services. Information presented does not constitute medical advice, legal advice, or a promise of any specific outcome. All clinical findings require validation by licensed healthcare professionals. Case examples are illustrative and do not guarantee similar results. Users should consult qualified medical and legal professionals for guidance specific to their situation.

Platform services support documentation and educational review only. Results may vary based on individual circumstances.

AI-Enhanced Cognitive Assessment

Discover the possibilities of financial automation for your business.

Where do you need to go? Choose your mode to get started.
Input data or analyze with Al-powered insights.

Input Mode

Upload and organize your data with ease. Create structured datasets and prepare information for analysis.

Analysis Mode

Leverage Al-powered analysis to uncover insights, patterns, and actionable intelligence from your data.

© 2026 CaseReview.Health - AI-Powered Injury Detection Platform | Board-Certified Physician Verification

© 2026 From Pain to Precision. Privacy Policy Terms of Use

Empowering businesses and individuals with innovative payment solutions designed to simplify every transaction. Our platform is simple to use, highly secure, and fully tailored to meet your unique financial needs.

We help you move money with confidence, speed, and transparency, while ensuring your entire financial world stays seamlessly connected and always within your control.